logo blog

درمان سنگ غدد بزاقی

درمان سنگ غدد بزاقی در طب سنتی

درمان سنگ غدد بزاقی

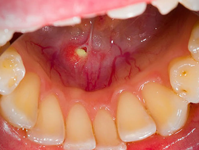
سنگ غدد بزاقی (salivary stones) به بیماری اطلاق میشود که در اثر آن سنگ‌های ریزی در غدد بزاقی دهان تشکیل می‌شوند. سنگ های ریز موجب مسدود شدن جریان بزاق دهان میشوند که این اتفاق باعث حس درد و ناراحتی در فرد میشود. این بیماری قابل درمان است و جای نگرانی وجود ندارد. درمان های گوناگونی برای سنگ غدد بزاق وجود دارد، ما در این مطلب قصد داریم راه های پیشگیری و درمان های ساده در مراحل اولیه ایجاد آن را مورد بحث و بررسی قرار دهیم.

علل به وجود آمدن سنگ های غده بزاقی

علت اصلی برای به وجود آمدن سنگ های غدد بزاقی وجود ندارد. مصرف هیچ غذا یا نوشیدنی باعث به وجود آمدن این بیماری نمیشود. تنها عامل شناخته شده، خشکی همیشگی دهان و کم آبی بدن میباشد. در نتیجه، مرطوب نگه داشتن دهان و مصرف آب به میزان کافی تنها اقدام پیشگیرانه برای سنگ غدد بزاقی میباشد.

علایم سنگ غدد بزاقی

داشتن درد شدید در هنگام غذا خوردن: هنگام غذا خوردن تولید بزاق افزایش می یابد، که این امر موجب التهاب بیشتر میشود.

احساس درد، یک یا دو ساعت بعد از غذا خوردن تسکین می یابد.

التهاب و تورم غدد بزاقی در برخی موارد همراه با عفونت میباشد. 

تورم در ناحیه صورت و گردن

طعم وحشتناک در دهان که با نظافت دندان به طور کامل از بین نمی رود

درد در هنگام باز کردن دهان ، جویدن یا بلعیدن

یک توده دردناک یا متورم در زیر زبان فرد

در برخی موارد سنگ های غدد بزاقی هیچ علامت و نشانه ای ندارند و فقط در رادیوگرافی تشخیص داده می شوند.

پیشگیری از سنگ غدد بزاقی

در بسیاری از موارد ، روش های خاصی برای جلوگیری از عفونت غده بزاقی به طور کامل وجود ندارد.

با این حال ، چند نکته در مورد شیوه زندگی ممکن است به کاهش خطر ابتلا به عفونت کمک کند. این موارد شامل:

در طول روز هیدراته بمانید و از مایعات فراوان استفاده کنید.

روزانه دو بار مسواک بزنید.

نخ دندان روزانه پس از صرف غذا استفاده شود.

بعد از خوردن غذا یا نوشیدن نوشیدنی یا غذاهای شیرین یا گازدار ، دهان را با آب بشویید.

هر شش ماه یکبار به دندانپزشک مراجعه نموده و پیگیری دوره ای انجام می شود.

جویدن آدامس بدون قند یا خوردن آب نبات های بدون قند توصیه می شود.

اجتناب از محصولات دخانی شامل سیگار و قلیان و … .

خوردن مواد غذایی در قسمت جلویی دهان برای تشویق تولید بزاق .

درمان غدد بزاقی

درمان های اولیه و خانگی زمانی کاربرد دارد که سنگ‌های غدد ریز باشند .

برای درمان گیاهی سنگ غدد بزاقی از مواد زیر استفاده میشود:

آب لیموترش تازه را با عصاره گل رز ترکیب کنید. ترکیب را روزی ۳ بار غرغره کنید. این کار را در چند روز تکرار نمایید.

ترکیب زنجبیل و نمک درست کرده و بر روی مناطقی که در آن سنگ‌های غدد بزاقی ایجاد شده‌، بمالید.

گل داوودی را داخل آب قرار دهید، گل را فشرده نمایید و بنوشید. این کار را در چند روز و در هر روز به تعداد ۲ الی ۳ بار تکرار نمایید.

زنجبیل موجب از بین رفتن عفونت و باکتری‌هایی می‌شود که به عفونت و التهاب غدد بزاقی منجر می‌شوند میگردد. بنابراین برای درمان و بهبود این بیماری استفاده از زنجبیل بسیار مفید خواهد بود . در این روش می‌توانید زنجبیل را جوشانده و بنوشید. و یازنجبیل را به تکه‌های کوچک تقسیم کرده و در مناطقی که زخم وجود دارد قرار دهید.

مکیدن مرکبات یا آب نبات های سفت و آدامس های بدون قند که موجب افزایش جریان بزاق دهان میشوند.

مصرف زیاد مایعات

مکیدن تکه های یخی جهت کاهش درد.

ولی در نظر داشته باشید که روش های ذکر شده فقط برای از بین بردن باکتری و عفونت هایی است که منجر به سنگ های غدد بزاقی میشود. در صورتی که این سنگ ها بزرگ بوده و به توده تبدیل شده باشند، حتما با یک متخصص گوش، حلق و بینی مشورت کنید.

جهت مشاوره خرید و استعلام قیمت انواع تجهیزات پزشکی با کارشناسان فارمد تجهیز ققنوس تماس بگیرید.

logo blog
کلیه حقوق این سایت متعلق به شرکت فارمد تجهیز ققنوس میباشد.
محصول با موفقیت به سبد خرید اضافه شد.